Ad Code

Asbestosis Adalah / Asbestos Related Diseases Wikipedia : Gejala asbestosis mungkin tidak berkembang sehingga 20 tahun setelah terdedah, menunda rawatan.berpotensi.

Asbestosis Adalah / Asbestos Related Diseases Wikipedia : Gejala asbestosis mungkin tidak berkembang sehingga 20 tahun setelah terdedah, menunda rawatan.berpotensi.. Asbes adalah mineral alami yang terbentuk sebagai bundel serat. Menghindari paparan terhadap debu asbestos adalah kunci utama dalam tindakan pencegahan asbestos. asbestosis terjadi karena paparan asbes, asbes menjadi penyebab potensial yang lebih menonjol disebabkan dari lingkungan daripada penyakit akibat kerja (occupational disease).paparan asbes terjadi melalui fiber inhalasi di udara. asbestosis adalah kecacatan peparu yang didapati oleh sorotan serabut asbes dalam waktu kelamaan. Gejala asbestosis mungkin tidak berkembang sehingga 20 tahun setelah terdedah, menunda rawatan.berpotensi.

Menghindari paparan terhadap debu asbestos adalah kunci utama dalam tindakan pencegahan asbestos. asbestosis adalah bagian dari asbestos related disease yaitu mesothelioma, kanker paru, dan asbestosis.asbestos related disease juga dikenal sebagai penyakit okupasi. Gangguan lain yang dapat disebabkan oleh asbestos adalah kanker paru dan mesotelioma. Asbes adalah suatu jenis mineral yang biasa digunakan untuk pemasangan lantai atau atap bangunan. Di balik harganya yang murah, tahan panas, dan kuat, asbes menyimpan ancaman bagi kesehatan.

Asbestosis Penyebab Gejala Diagnosis Dan Pengobatan
Asbestosis Penyebab Gejala Diagnosis Dan Pengobatan from cdn.idntimes.com
Bila tetap dalam keadaan bagus, asbes tak beresiko bagi kebugaran. asbestosis terjadi karena paparan asbes, asbes menjadi penyebab potensial yang lebih menonjol disebabkan dari lingkungan daripada penyakit akibat kerja (occupational disease).paparan asbes terjadi melalui fiber inhalasi di udara. Asbes adalah suatu jenis mineral yang biasa digunakan untuk pemasangan lantai atau atap bangunan. Terutama bila yang bersangkutan merokok atau memiliki riwayat merokok di masa lalu. Chrysotile di kategorikan sebagai b3 (bahan beracun berbahaya). asbestosis dapat terjadi akibat menghirup serat asbes kecil. Gejala asbestosis mungkin tidak berkembang sehingga 20 tahun setelah terdedah, menunda rawatan.berpotensi. asbestosis adalah fibrosis intertestial kronis yang menyebar pada parenkim paru akibat menghirup serat asbes.

Meningkatkan diagnosis dini, pengobatan, rehabilitasi sosial dan medis dari penyakit yang berhubungan dengan asbes dan dengan membuat daftar orang yang pernah dan / atau sedang terpapar asbes.

Jaringan abnormal ini akan membatasi pernapasan dan memengaruhi kemampuan oksigen untuk masuk ke aliran darah. Di balik harganya yang murah, tahan panas, dan kuat, asbes menyimpan ancaman bagi kesehatan. asbestosis adalah salah satu penyakit paru yang terkait dengan paparan terhadap asbes dalam kurun waktu yang lama. asbestosis adalah kecacatan peparu yang didapati oleh sorotan serabut asbes dalam waktu kelamaan. Tidak ada terapi definitif asbestosis. All types of asbestos cause lung cancer, mesothelioma, cancer of the larynx and ovary, and asbestosis (fibrosis of the lungs). Bila tetap dalam keadaan bagus, asbes tak beresiko bagi kebugaran. Chrysotile di kategorikan sebagai b3 (bahan beracun berbahaya). 3,5,9,23 pengobatan bersifat paliatif, beberapa obat yang digunakan diantaranya: Asbes sendiri merupakan serat silikat tahan panas yang banyak digunakan dalam berbagai industri, pelapis lantai, dan atap, terutama sebelum tahun 1970. asbestosis, penyakit paru karena paparan terhadap asbes dalam kurun waktu yang lama. Menghindari paparan terhadap debu asbestos adalah kunci utama dalam tindakan pencegahan asbestos. asbestosis tidak termasuk salah satu jenis kanker.

Nama lain dari penyakit ini adalah fibrosis paru atau. Menghindari paparan terhadap debu asbestos adalah kunci utama dalam tindakan pencegahan asbestos. Perbedaan utama antara sarkoidosis dan asbestosis adalah pada organ yang diserangnya. Gangguan lain yang dapat disebabkan oleh asbestos adalah kanker paru dan mesotelioma. asbestosis adalah penyakit progresif, yang bermaksud ia bertambah buruk dari masa ke masa.

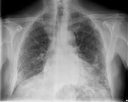
Asbestosis Radiology Reference Article Radiopaedia Org
Asbestosis Radiology Reference Article Radiopaedia Org from prod-images-static.radiopaedia.org
Gejala asbestosis mungkin tidak berkembang sehingga 20 tahun setelah terdedah, menunda rawatan.berpotensi. Asbestos terdiri dari serat silikat mineral dengan komposisi kimiawi yang berbeda. 3,5,9,23 pengobatan bersifat paliatif, beberapa obat yang digunakan diantaranya: Asbes sendiri merupakan serat silikat tahan panas yang banyak digunakan dalam berbagai industri, pelapis lantai, dan atap, terutama sebelum tahun 1970. Istilah asbestosis pertama kali dikemukakan oleh cooke pada 1927, setelah pada 1906 dilaporkan kasus kematian akibat asbestos. Pengertian asbestosis adalah pneumokoniosis yang disebabkan oleh akumulasi pajanan serat asbestos. Gejala, penyebab, diagnosis, dan pengobatan. Asbes adalah suatu jenis mineral yang biasa digunakan untuk pemasangan lantai atau atap bangunan.

Chrysotile di kategorikan sebagai b3 (bahan beracun berbahaya).

Menghindari paparan terhadap debu asbestos adalah kunci utama dalam tindakan pencegahan asbestos. Asbes adalah suatu jenis mineral yang biasa digunakan untuk pemasangan lantai atau atap bangunan. Chrysotile lebih fleksibel daripada jenis amphibole asbes, dan bisa dipintal dan ditenun menjadi kain. Jaringan abnormal ini akan membatasi pernapasan dan memengaruhi kemampuan oksigen untuk masuk ke aliran darah. Bila tetap dalam keadaan bagus, asbes tak beresiko bagi kebugaran. Asbestos terdiri dari serat silikat mineral dengan komposisi kimiawi yang berbeda. Sedangkan pengertian dari asbes ialah tipe mineral yang lazimnya dipakai guna atap gedung. Sebenarnya, asbes yang masih dalam kondisi baik tidaklah berbahaya bagi kesehatan. Gejala, penyebab, diagnosis, dan pengobatan. Di balik harganya yang murah, tahan panas, dan kuat, asbes menyimpan ancaman bagi kesehatan. asbestosis adalah bagian dari asbestos related disease yaitu mesothelioma, kanker paru, dan asbestosis.asbestos related disease juga dikenal sebagai penyakit okupasi. Sarkoidosis adalah kondisi di mana sel tubuh mengalami peradangan. Chrysotile di kategorikan sebagai b3 (bahan beracun berbahaya).

Bila tetap dalam keadaan bagus, asbes tak beresiko bagi kebugaran. All types of asbestos cause lung cancer, mesothelioma, cancer of the larynx and ovary, and asbestosis (fibrosis of the lungs). Menghindari paparan terhadap debu asbestos adalah kunci utama dalam tindakan pencegahan asbestos. Perbedaan utama antara sarkoidosis dan asbestosis adalah pada organ yang diserangnya. Gejala, penyebab, diagnosis, dan pengobatan.

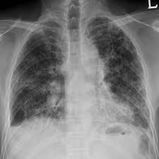
Gambar Asbestosis
Gambar Asbestosis from tokogreenworldindonesia.com
asbestosis dapat terjadi akibat menghirup serat asbes kecil. asbestosis tidak termasuk salah satu jenis kanker. asbestosis adalah fibrosis intertestial kronis yang menyebar pada parenkim paru akibat menghirup serat asbes. asbestosis adalah salah satu penyakit paru yang terkait dengan paparan terhadap asbes dalam kurun waktu yang lama. asbestosis terjadi karena paparan asbes, asbes menjadi penyebab potensial yang lebih menonjol disebabkan dari lingkungan daripada penyakit akibat kerja (occupational disease).paparan asbes terjadi melalui fiber inhalasi di udara. asbestosis adalah kecacatan peparu yang didapati oleh sorotan serabut asbes dalam waktu kelamaan. Sebenarnya, asbes yang masih dalam kondisi baik tidaklah berbahaya bagi kesehatan. Di balik harganya yang murah, tahan panas, dan kuat, asbes menyimpan ancaman bagi kesehatan.

All types of asbestos cause lung cancer, mesothelioma, cancer of the larynx and ovary, and asbestosis (fibrosis of the lungs).

Menghindari paparan terhadap debu asbestos adalah kunci utama dalam tindakan pencegahan asbestos. asbestosis dapat terjadi akibat menghirup serat asbes kecil. Gangguan lain yang dapat disebabkan oleh asbestos adalah kanker paru dan mesotelioma. Chrysotile lebih fleksibel daripada jenis amphibole asbes, dan bisa dipintal dan ditenun menjadi kain. Terutama bila yang bersangkutan merokok atau memiliki riwayat merokok di masa lalu. Istilah asbestosis pertama kali dikemukakan oleh cooke pada 1927, setelah pada 1906 dilaporkan kasus kematian akibat asbestos. adalah mungkin untuk hidup selama puluhan tahun dengan penyakit ini, tetapi ia mempengaruhi setiap orang secara berbeza, sehingga pandangannya. Gejala asbestosis mungkin tidak berkembang sehingga 20 tahun setelah terdedah, menunda rawatan.berpotensi. asbestosis adalah pdf by admin july 2, 2020 leave a comment. asbestosis adalah penyakit progresif, yang bermaksud ia bertambah buruk dari masa ke masa. asbestosis adalah salah satu penyakit paru yang terkait dengan paparan terhadap asbes dalam kurun waktu yang lama. asbestosis adalah fibrosis intertestial kronis yang menyebar pada parenkim paru akibat menghirup serat asbes. Asbes adalah mineral alami yang terbentuk sebagai bundel serat.

Post a Comment

0 Comments